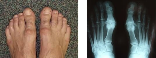
Masz ograniczenia ruchomości w obrębie palucha? Odczuwasz ból w dużym palcu podczas chodzenia? Pojawił się obrzęk? Możesz cierpieć na schorzenie występujące pod nazwą paluch sztywny (hallux rigidus). Jego przyczyna związana jest ze zmianami zwyrodnieniowymi stawu śródstopno-paliczkowego palucha. W przeciwieństwie do haluksa, czyli palucha koślawego w przypadku palucha sztywnego nie występuje odchylenie palucha, czy też przyśrodkowe przemieszczenie pierwszej kości śródstopia. Ewentualnie jest ono bardzo nieznaczne.
Choroba ma charakter postępujący i może skutkować nawet całkowitym zniszczeniem stawu śródstopno-paliczkowego. Paluch sztywny dotyka najczęściej osoby dorosłe pomiędzy 30, a 60 rokiem życia. Leczenie palucha sztywnego polega na zabiegach fizykoterapeutycznych oraz specjalnie dobranych ćwiczeń. Dowiedz się więcej na temat tego schorzenia. Sprawdź, jakie objawy daje paluch sztywny, jakie są przyczyny powstania dolegliwości i jak wygląda skuteczne leczenie?
Przyczyny sztywnego palucha są bardzo zróżnicowane. Na przestrzeni ostatnich lat i wielu badań specjaliści ustalili, że paluch sztywny może być związany z poważnymi urazami palucha (np. złamania). Także mikrourazy palucha, które nie wymagają z reguły opieki lekarskiej mogą z czasem prowadzić do palucha sztywnego. Dotyczy to przeważnie sportowców, w tym głównie piłkarzy oraz zawodników sztuk walki. Jest to związane z kontaktowością tych dyscyplin sportu. Znacznie rzadziej mikrourazy w obrębie palucha przytrafiają się koszykarzom, lekkoatletom, czy tenisistom. Na rozwój palucha sztywnego wpływ ma również genetyka.
Występowanie tego schorzenia u członków rodziny znacznie zwiększa szansę rozwoju omawianej choroby u przyszłych pokoleń. Warto jednak zaznaczyć, że predyspozycje genetyczne nie zawsze kończą się chorobą sztywnego palucha. Schorzenie może być też wywołane nieprawidłowościami w budowie stawu oraz kości śródstopia. Chodzi tu o kształt powierzchni stawowej oraz o nieprawidłową budowę głowy I kości śródstopia. Wśród innych przyczyn wymienia się nadmierną długość palucha, chorobę Charcota, dnę moczanową, choroby reumatyczne, czy też jałową martwicę głowy pierwszej kości śródstopia.
Jak już zostało wspomniane paluch sztywny daje takie objawy jak zaczerwienienie stawu śródstopno-paliczkowego, któremu może towarzyszyć obrzęk. Poza tym, występuje ograniczenie ruchomości w obrębie palucha. Pacjenci z tym schorzeniem skarżą się też na ból palucha, który doskwiera zwłaszcza w czasie poruszania się. Jest to szczególnie odczuwalne, gdy chodzi się w zbyt ciasnym obuwiu. Paluch sztywny może również być nieco ocieplony w porównaniu do innych części stopy.
Leczenie zachowawcze tego schorzenia polega przede wszystkim na nieinwazyjnych zabiegach fizjoterapeutycznych. Dodatkowo można zastosować ćwiczenia rozluźniające oraz terapię manualną. Niezwykle ważne jest również chodzenie w wygodnym obuwiu, które nie uciska palców. Jeżeli to możliwe, to warto wykonać sobie termoplastyczne wkładki ortopedyczne. Poprawiają one wydatnie komfort chodzenia, zmniejszają dolegliwości bólowe oraz poprawiają biomechanikę stopy. Wykonuje się je na podstawie badania komputerowego stóp. Właśnie dlatego są idealnie dopasowane do stóp pacjenta. Leczenie zachowawcze palucha sztywnego powinno być wielotorowe i obejmować:
W sytuacji gdy leczenie sztywnego palucha metodami nieinwazyjnymi nie przyniosło pożądanych rezultatów można wykonać zabieg chirurgiczny. Należy jednak pamiętać, że operacja palucha to rozwiązanie ostateczne, które nie daje 100% gwarancji wyleczenia i wiąże się ze żmudną rehabilitacją. Metody leczenia operacyjnego sztywnego palucha to:
Zanim jednak zdecydujesz się na zabieg chirurgiczny sztywnego palucha radzimy Ci wypróbować wszelkie metody leczenia zachowawczego.
25 września, 2025 r.
25 września, 2025 r.
11 września, 2025 r.